A fiam külföldi nyaralás után megjelenő folyamatos hasi fájdalma és más tünetei, valamint a magyar egészségügyben történt műhibákból eredő szenvedése már 2,5 éve tartott, amikor 2017 februárjában kétszeresen is pozitív laborleletet kapott egy ritka betegségre, a krónikus Bartonella Henselae fertőzésre: először Magyarországon megrendelt Bartonella szerológiai teszt által, majd úgy jött ki a lépés, hogy három hét múlva a bécsi AKH-ban is pozitív lett B. Henselae-re.
Mivel sosem lehet tudni, hogy ki talál rá e blogra, aki hasonló helyzetben van, vagy ismer mást, aki hasonlóan járt, vagy tud segíteni, írok egy bejegyzést arról, hogyan találkozott a fiam a Bartonella Henselae fertőzés tüneteivel és diagnózisával. Mint mindig e blogban, ezt a cikket is Zsolttal egyeztetve írom, minden bekezdését. Olyan állapotban van, hogy írni nincs hosszan lehetősége, de beszélni megbeszélünk mindent.
Amikor a Facebookon közzétettem a betegségtörténetét sokan írták, hogy nem voltak képesek egyszerre végigolvasni a teljes írást, sírtak, megkönnyezték, hogy ennek a fiatalembernek semmit nem akartak elfogadni az orvosok, nem hittek a súlyos tüneteinek, állapotának és mulasztásokkal, orvosi hibákkal, döbbenetes nemtörődömséggel lépésről lépésre megnyomorították őt. A fiam helyzete 2024-ben egy tágult vesén orvos nélkül végzett vesekőzúzás után kialakult és tudatosan kezeletlenül hagyott súlyos vesemedence-gyulladás (súlyos vesefertőzés) miatt drámaivá vált! (Kérem olvassa el a Blog 2-t)

Élet-halál harc, leírhatatlan szenvedés lett az élete minden perce. Morfin, Fentanyl tapasz és altatók nélkül a fájdalmait már nem tudná tovább viselni, hiszen az eddigi szenvedéséhez elviselhetetlen vesefájdalom társult. Ennek megértéséhez szükséges elolvasnia a Blog 2-t a fenti képre kattintva, és az első cikkünket, a Blog 1-et is. Van egyrészt ez a csapda helyzet, és van az, hogy csakis külföldi kezelésekben, konzíliumokban bízva és egy perifériás idegműtéttel (USA) nyerheti vissza az emberi életet. Ehhez 45-60 millió forintra van szükségünk, melyet csakis az Önök segítségével tudunk rövidtávon előteremteni. Mivel korábban nem indítottunk közösségi adománygyűjtés – és ebben nagy szerepe van a mérgező családunknak – a fiam szenvedése hihetetlenül hosszúra nyúlt. Ha most relatíve gyorsan nem vagyunk képesek összegyűjteni ezt az összeget, elveszítem a fiamat. Ezért kérem, ha szeretnének segíteni és esélyt adni a fiamnak 11 év pokol után egy emberi életre, adományaikat a fiam alábbi számlaszámára juttassák el:
| Név: Viczena József Zsolt Számlaszám: 11773401-0090820700000000 Közlemény: adomány IBAN: HU96117734010090820700000000 Announcement: donation |
Visszatérve a Bartonella témájára, mielőtt belemennénk talán fontos lehet felhívni a figyelmet egy tévedésre, ami nem csak a köztudatban, de az orvosok körében is aktívan él ezzel a betegséggel kapcsolatban van:
A krónikus Bartonella fertőzés (bartonellózis) nem egyenlő az akut macskakarmolási betegséggel
A Bartonella a Gram-negatív baktériumok közé tartozó, pálcika alakú, fakultatívan intracelluláris, „rejtőzködő” kórokozó, amely elsősorban az endotélsejtekben és a vörösvértestekben képes túlélni és szaporodni, lassú növekedése és sejten belüli életmódja miatt pedig diagnosztikailag és terápiásan is kihívást jelent. Az akut, lokalizált Bartonella henselae fertőzés, közismert nevén macskakarmolási betegség, és az úgynevezett krónikus bartonellózis fogalma között alapvető szemléleti és tudományos különbség húzódik meg.
A macskakarmolási betegség klasszikus értelemben akut, önkorlátozó bakteriális fertőzés, amely rendszerint macskakarmolást vagy -harapást követően alakul ki. Kórokozója a Bartonella henselae, amely a bőrön át jut be a szervezetbe, majd regionális nyirokcsomó-gyulladást okoz. A tünetek jellemzően 1–3 héten belül jelentkeznek, és többnyire lokalizáltak: fájdalmas nyirokcsomó-duzzanat, enyhe láz, rossz közérzet. Immunkompetens egyénekben a betegség gyakran kezelés nélkül is gyógyul, vagy rövid, célzott antibiotikum-terápiára (például azitromicinre) jól reagál. A kórlefolyás időben behatárolt, maradandó szervi károsodás ritka.
Ezzel szemben a krónikus bartonellózis fogalma nem egységesen elfogadott a klasszikus infektológiában. E megközelítés szerint a Bartonella baktériumok képesek hosszan perzisztálni a szervezetben, részben sejten belüli elhelyezkedésük miatt, és elhúzódó, hullámzó lefolyású tüneteket okozhatnak. A súlyos, krónikus Bartonella henselae fertőzés ritkább, de potenciálisan súlyos szisztémás betegséget (tehát több szervet, de akár egész testet érintő rendszerbetegséget) okozhat, különösen immunhiányos betegeknél, magas klinikai gyanú esetén, vagy hosszantartó aluldiagnosztizáltság/félrediagnosztizáltság esetén (ilyen Zsolt esete is). A gyanús klinikai kép mellett a diagnózis gyakran több módszeren alapszik: szerológiai (antitest) vizsgálat, molekuláris - PCR vizsgálat, és ha szükséges szöveti mintavételezés (biopszia) kombinációját használják. A célzott kombinált antibiotikumos kezelés (pl. klaritromicin és rifampicin, azitromicin és rifampicin, vagy doxiciklin és rifampicin) kezelés jóval hosszabb lehet, mint az egyszerű, lokalizált, akut macskakarmolási betegség esetén - több hónapon, de akár 1-2 éven át tartó is. Annyira súlyos is lehet, hogy a beteg végül az eutanáziát választja. Ez teljesen ellentmond azoknak a bagatellizáló egészségügyi írásoknak és teljesen tájékozatlan orvosok kinyilatkoztatásainak, ahol a bartonellózist "csupán egy öngyógyuló, legtöbbször semmilyen kezelést nem igénylő macskakarmolási betegségnek" jellemzik. Nem beszélve a krónikus-disszeminált fertőzésről. A Bartonella Babe internetes néven is ismert fiatal lány, Jake Pikerl, aki tudományos magyarázatokkal készített youtube-videóival hívta fel a figyelmet e betegség súlyos változatára saját példáján keresztül, végül sok év szenvedés után 30 évesen az eutanáziát választotta - pontosan nem tudni, miért, hogy esetleg más betegség is állt-e a háttérben. A fiam, Zsolt azzal a különbséggel beszél most már rendszeresen erről - miközben morfiummal, fentanyllal és altatóval próbálja életben tartani magát - hogy őt többszörös műhibákkal, még a magyar egészségügyben sem látott módokon nyomorították meg. (Ezt részleteztük a Blog 1 cikkünkben.)
Hogyan derült ki a Bartonella fertőzés diagnózisa, milyen tesztek igazolták?
Még 2017 év elején voltunk egy hazai Lyme-kór specialista magánrendelésén, aki nemcsak a kórtörténetet, tüneteket kérdezte ki, de fizikai vizsgálattal felfigyelt a fiam testén (oldalán és alhasán) lévő hosszú livid striák tömegére (erről látható kép is a cikk "Bartonella tünetei" szekciójában). Az ilyen mértékű folyamatos hasi fájdalom nem illik a Bartonella Henselae tüneteibe, a fiam a striákat és például a talpai sarokrészén található fájdalmas csomókat amik miatt talpélen áll/jár itthon, pedig szinte meg sem említette, relativizálva őket, hiszen a hasi fájdalom és a műhibával okozott herefájdalom (kisugárzó idegfájdalom) volt az, amitől nem tudott élni, amire Tramadolt szedett mindennap, hogy 10-es skálán 6-7-esre "csillapítva" a fájdalmat, kibírja a napokat. Mindent figyelembevéve az orvos végül is azt mondta: Vagy Lyme-kór, vagy bartonellózis.
Igaza lett.
Két és fél év után is pozitív Bartonella Henselae szerológia vizsgálat:

A szakirodalom azt írja, hogy az IgG titerek idővel csökkenek és mindössze az esetek 25%-ban tudják kimutatni az IgG pozitivitást 1 év eltelte után és az 1:256 vagy annál nagyobb titer értékek jelentősen arra utalnak, hogy a fertőzés aktív vagy közelmúltbeli. A fiamnak pedig 2,5 év elteltével, egymás után két országban is IgG pozitivitást mutattak ki Bartonellára, elég magas 1:320 titerrel. A Lyme-kór teszt negatív volt.

A fiam tünetei a következők voltak miután kettétört az élete a külföldi nyaralás után 5 héttel egyik napról a másikra: folyamatos tépő jellegű hasi fájdalom a köldök mögött, viszkető bőrtünet/égető bőrirritáció a farpofáknál, farcsontnál (utóbbi 4 hét után lassan eltűnt, a hasi fájdalom maradt). Ha megpróbált enni egy közepes adag ételt, egy egyszerű csirkemell-krumpli étkezést, 20 percen belül hideg verejtékezés súlyos hasi fájdalomnövekedéssel, magas pulzussal ami étkezés után akár 140-es pulzusszámig felmegy. De a pulzusa hasonlóan magas lesz állás/kevés séta alatt is.
Az első képalkotó diagnosztikai tünetei voltak: az első ultrahang lépmegnagyobbodás, kis mennyiségű szabad hasi folyadék, kisebb retroperitonealis nyirokcsomót észlelt. Az első kapszulás endoszkópia részletes leletéből talán a legfontosabb, hogy kimutatott "a jejunum felső harmadában grízes rajzolatot, amely focalis lymphangiectasianak megfelelhet." De nem vettek belőle biopsziát.
Aztán jött a legfőbb eltérés és vezető tünet a képalkotókon:
Hasi nyirokcsomó-megnagyobbodás: A bartonella okozta?
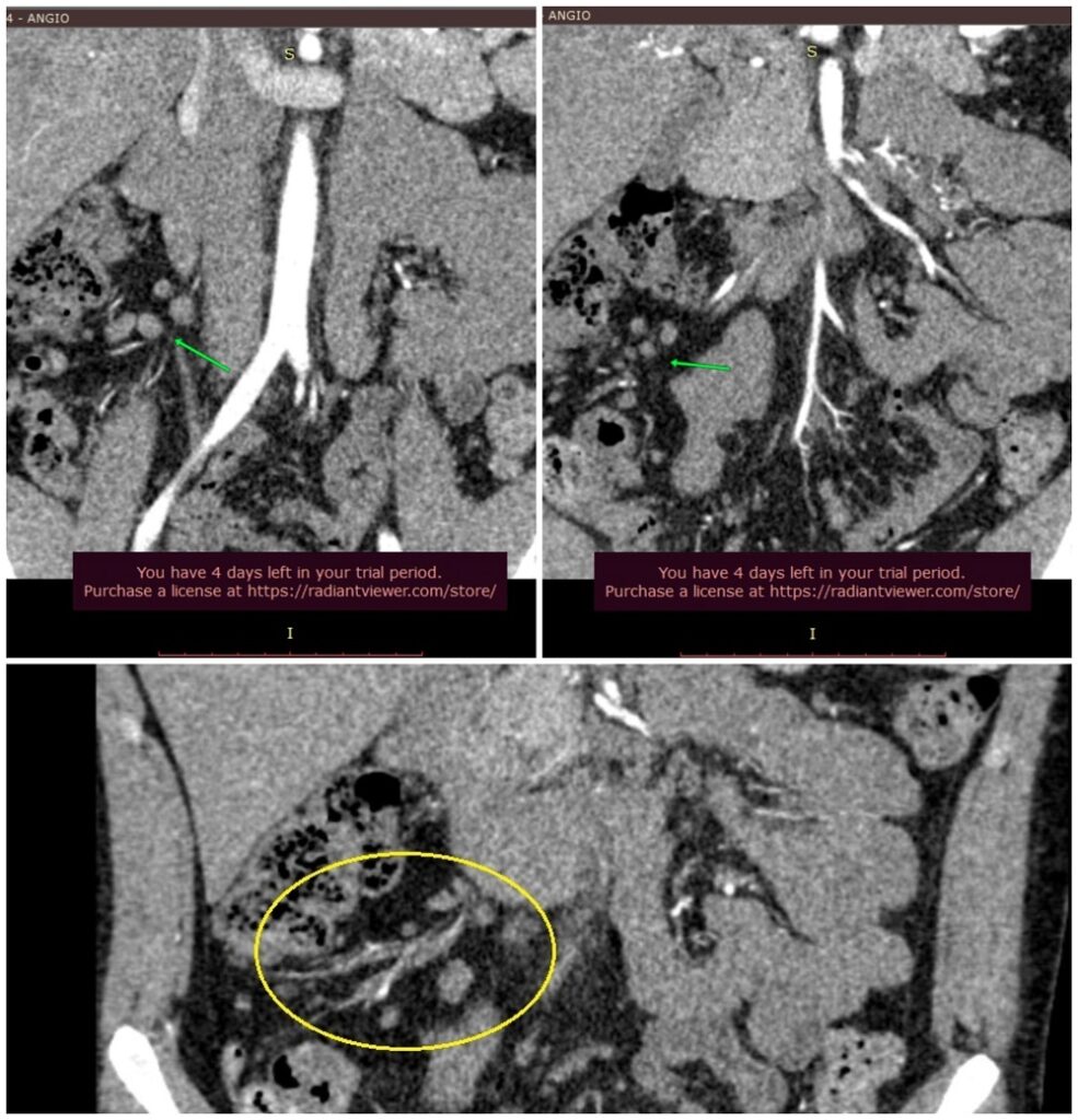
A 6. hónapban készült CT Angiográfia több mint egy tucat megnagyobbodott hasi nyirokcsomót (mesenterialis lymphadenomegalia) ábrázolt, amelyek mind számukban mind méretükben (15x12mm; 13x13mm; 11x5mm...) progressziót mutattak a 3. hónapban elvégzett has-kismedence CT-vel összehasonlítva. Ahol egyébként elbagatellizálták a nyirokcsomók méretét, számát, mondta el nekünk a CT Angiot leletező radiológus. Viszont hiába az eredmények , nem vettek mintát a temérdek nyirokcsomó egyikéből sem és nem foglalkoztak a leírt ritka hasi kórképpel, a duodenumot (nyombelet) összenyomó aortával és artériával, vagyis az Artéria Mesenterica Superior Szindrómával, ami ismert még Wilkie-szindróma néven is - és itt pecsételődött meg végleg a fiam sorsa.

Mivel ez a bejegyzés a Bartonella fertőzés oki lehetőségéről szól, itt nem írnék bővebben a fiam AMS-szindróma történetéről, ezt majd egy másikban megtesszük. Viszont AMS-szindrómát vizsgáló CT-n talált eltérések másik fele éppen a Bartonellózis egyik vezető tünete: a nyirokcsomó-megnagyobbodás. Ami a fiam hasi CT és MR felvételeit illeti, nem egy-két nyirokcsomója volt, hanem rengeteg - ezt a saját szemünkkel láttuk és onnantól fogva tudjuk, mióta 7 évvel később, 2022-ben Máthé Zoltán Professzor Úr (Semmelweis Egyetem Transzplantációs Klinika korábbi igazgatója) megmutatta nekünk a felvételeket és segítsége után a fiam sok órát, napot beletéve megtanulta értelmezni felvételeit a Radiant segítségével a kapott diagnózisai, vagyis a nyirokcsomók, az AMS és a paraduodenalis (belső) sérv kapcsán.

2016-ban, két évvel a betegség kezdete után továbbra is kimutatták egy újabb kontrasztanyagos teljes has-kismedence MR-en.


És hiába követte ezt 1 hónappal később, 2016 augusztusában a fiam diagnosztikus hasi laparoscopia műtétje, a sebész szabadságon volt, és a fiam egy másik orvossal próbálta megbeszélni, hogy vegyenek ki nyirokcsomót szövettani vizsgálatra... Nem vettek.

Zsoltnál nagyrészében mesenterialis nyirokcsomók voltak, de volt több megnagyobbodott retroperitoneális nyirokcsomó is, több mint 3,5 év után, még 2017 decemberében is az alábbi méretű és elhelyezkedésű nyirokcsomók voltak láthatók Zsolt MRI-jén. Tehát a lelet 2017-es, de 2020-ban egy újraátnézés során a radiológus pontosabban megvizsgálta és leletezte a nyirokcsomókat, többek között egy 10x21x9 mm-est is, de ezekből ismét nem történt mintavétel. (Pedig ezután az MR után történt nagy hasi műtét /laparotomia/, ahol erre minden lehetőség meg lett volna!)

Majd 2020-ban, 6 évvel a betegség kezdete után, a fiam bevállalt egy invazív endoscopos ultrahang vizsgálatot is (ami igen anarchikus körülmények között zajlott), ahol a gasztroenterológus talált egy 15x12 mm-es nyirokcsomót, ami nyomta a közös epevezetéket - csakhogy a megbeszéltek ellenére, érthetetlen módon megint NEM történt mintavétel. Így szövettani vizsgálat sem = diagnózis sem lett!

Az is olvasható a leleten, hogy a máj "hyperreflectiv, helyenként hypodenz területekkel", akkor még nem tudtuk mert senki nem foglalkozott ezzel sem, de ezek, különösen együttvéve a nyirokcsomókkal akár teljesen megfelelhettek Bartonella-fertőzés okozta elváltozásoknak. Van egy PubMed esettanulmány is, amiben pont erről írnak: Macskakarmolási betegség, a hypodenz máj léziók, nyirokcsomógyulladás és egy kidudorodó duodenális lézió ritka oka, amelyért a Bartonella henselae kórokozó felelt.
A fiam és én hiába hangoztattuk minden alkalommal a külföldi nyaralás és egy ott szerzett lehetséges és nyilvánvalóan súlyos fertőzés kapcsolatát, hiába észlelték a cikk elején említett szabad hasi folyadékot az ultrahang leletén (amire a Váci Kórház vezető gasztroenterológusa néhány hónappal később azt mondta, "az már komoly eltérés, mindegy hogy nem nagy mennyiségű a folyadék, megvannak a konkrét okai, amikor ilyen megjelenik, ezt vizsgálni kellett volna" - persze amikor ezt szilveszter délutánján mondta Zsoltnak a telefonban, még bizakodó volt a fiam. Viszont amikor 1 hónap múlva befeküdt a váci kórházba, 3 napig nagyjából az ajtót sem nyitották a kórházi szobára orvosok, utolsó nap kapkodva történt egy újabb gastroscopia és gyorsan ki is rakták.), ami sok páciensnél, főleg ilyen hasi fájdalommal, már önmagában elég arra, hogy megszúrják és a folyadékból mintát vegyenek (mert felveti pl. tuberkulózis gyanúját és lehet hogy csak így lesz diagnosztizálható), nem történt mintavétel és az előbb említett orvoson kívül ez senkit nem érdekelt. A 2014-es kezdeti, szeptemberi ultrahangot követő gyomortükrözése során levett egyszerű nyálkahártya minták szövettani eredménye sem volt negatív, sőt beszéljen az alább csatolt lelet - mégsem gondolkodott el egy orvos sem az összefüggéseken. Az orvosok úgy viselkedtek, mintha minden lelet negatív lett volna.

Pedig ha laikusként is csak ennyit olvas el az ember, hogy (focalis) lymphangiectasia - nyirokértágulat; mesenterialis lymphadenomegalia - hasi nyirokcsomómegnagyobbodás; nyálkahártyához asszociált nyirokszövet - MALT; látszik, hogy ezek nem negatív eredmények és mindenhol a nyirokrendszer érintett valamilyen formában. Mind a limfómát, mind a limfómát utánzó kórképeket, mind a krónikus hasi nyirokcsomó-megnagyobbodást okozó fertőzéseket (pl. hasi tuberkulózis, bartonellózis, giardiasis), mind gyulladásos kórképeket (pl. sarcoidosis) ki kellett volna vizsgálni, és az egyéb elváltozásokat és tüneteket is, mint az állandó, étkezés után 20 perccel jelentkező súlyos hasi fájdalomnövekedés és szimpatikus idegrendszeri tünetek (magas pulzus, nagyfokú hideg verejtékezés). De nem tették és nem vettek szövetmintát soha onnan, ahol az eltérések mutatkoztak. (Egyetlen kivétel, ami megemlítendő, hogy 2014. decemberében egy újbóli gyomortükrözésen véletlenszerű helyekről - tehát itt sem a patológiás területből (amihez jejunoscopia kellett volna) - levett biopsziát megvizsgálták Whipple-kórra, ez negatív lett.)
A bartonellát limfómát utánzó kórképként is számon tartják. (Pl: Cat Scratch Disease as a mimicker of malignancy /Pubmed/) Olvastunk egy a fiaméhoz sok tünetben reménytkeltően hasonló esetet, ahol egy 23 éves fiatal egy 6 hónappal azelőtti horvátországi nyaralás után produkált olyan tüneteket mint megnagyobbodott nyirokcsomók, csontfájdalom, herefájdalom, vizelési nehézség és erekciós zavar (utóbbi kismedencei tüneteket az esetet leíró orvosok feltételezése szerint bartonella okozta pudendális neuropátia váltott ki). Itt az orvosok szinte rögtön teljes test PET-CT-t csináltak, majd amikor ez megnagyobbodott nyirokcsomókat mutatott, limfómára gondolva, azonnal mintát vettek ezekből sebészeti kimetszéssel. És nem fejezték be ennyivel, a csontvelőből is mintát vettek, majd mindkettőre PCR vizsgálatot indítottak, ami pozitív lett Bartonella Henselae kórokozóra. Így derült ki a valódi ok, a fiú antibiotikum terápiát kapott és 3 hét alatt felgyógyult tüneteiből. 3 hét (!). Persze nem Magyarországon, hanem Belgiumban történt a gyógyulás. A fiam pedig 11 éve szenved, nem meggyógyították, hanem példa nélküli módon megnyomorították a magyar egészségügyben.
Nem tudjuk, hogy Zsoltnál a betegség kezdetétől számítva még 2,5 év után is diagnosztizálható Bartonella Henselae fertőzés az eredeti ok-e, vagy egy párhuzamos diagnózis. A lokalizált, folyamatos, nem viselhető hasi fájdalom nem stimmel a Bartonellával, de számos más tünet igen.
A krónikus bartonellózis, Bartonella Henselae tünetei - És Zsolt tünetei
A Google-AI segítségét kértük, hogy a Galaxy Diagnostics (Prof. Ed. Breitschwerdt), az IGeneX és a PubMed adatbázisában fellelhető klinikai tanulmányok, orvosi leírások alapján foglalja össze a krónikus Bartonella-fertőzés (bartonellosis) tünetegyüttesét, amely rendkívül összetett. A baktérium képes az érrendszer sejtjeiben (intracellularisan) és a vörösvértestekben rejtőzködni, ami szinte bármely szervrendszert érintő panaszokat okozhat. (disszeminált fertőzés, súlyos lehet!)
A részletes tünetlista kategóriákra bontva közöljük az alábbiakban:
Bartonella bőrtünetei és érrendszeri tünetek, jelek
A Bartonella egyik legfontosabb jellemzője, hogy serkenti az erek képződését (angiogenezis).
Stria-szerű bőrelváltozás: Hosszúkás, vöröses-lila csíkok, amelyek hasonlítanak a terhességi csíkokra, de gyakran szokatlan helyen (pl. háton, karokon) jelennek meg, és nem súlygyarapodás okozza őket.
Apró érburjánzások: Megjelenhetnek apró, pirosas csomók vagy "pókvénák".
Lassú sebgyógyulás és könnyen kialakuló véraláfutások, bevérzések.
Ezen tünetek mindegyike megjelent Zsoltnál, pont a fenti sorrendben. Kivéve amiről a 4. kép szól, a súlyos urológiai állapottal együtt jelentkező, jellegzetesen a keresztcsont környéki régióban megjelenő égő bőrtünet - amire azt mondta az orvos, mindig idegi érintettségre utal. A régió (sacrum, pudendalis idegek) felel a urológiai szervek beidegzéséért. Nem tudjuk, hogy a bartonella támadta meg ezen terület idegeit, vagy teljesen másról van szó? Talán éppen olyan pudendális neuropátia, mint a fent említett 23 éves fiú esetében? Csakhogy Zsolt nem gyógyult meg 3 hét alatt, nála 2022 óta tartanak a fenti súlyos urogenitalis tünetek, miután kivizsgálás nélkül cserben hagyták ekkor is!

Bartonella mozgásszervi tünetei és fizikai fájdalmak, tünetek
Talpfájdalom (Plantar Fasciitis): Jellegzetes tünet a reggeli, ébredés utáni erős talpfájdalom, amely a nap folyamán enyhülhet.
Vándorló ízületi fájdalom: A fájdalom helye változik (egyik nap a térd, másik nap a váll fáj).
Mély csontfájdalom: Különösen a sípcsontban és a bordákban jelentkező intenzív fájdalomérzet.
Visszatérő láz: Gyakran alacsony fokú, ciklikusan visszatérő láz vagy hőemelkedés.
Talpfájdalom: 2015-ben már észrevettem, hogy a fiam nem tudatosan is talpélen közlekedik a lakásban, majd a talpát megnézve, mindkét talp sarokrészénél volt 1-1 dudor. Megmutattuk orvosnak, aki azt mondta ki kell vágni, és hogy neurofibromatosis csomó is lehet. Elmentünk egy ortopéd-sebészhez, aki rögtön látta, hogy ez kötőszöveti eredetű duzzanat/csomó. "Ezt nem lehet kivágni, jézusom" - mondta! És amit mi akkor még nem tudtunk - sőt a Bartonella létezését sem - az az, hogy pont ez a Bartonellózis egyik legtipikusabb tünete, "pain in the soles of feet", fájdalom a talpban. A fiamnak a mai napig fájdalmas a talpa különösen a hátsó része, tehát a sarkak felé, a csomó viszont már kevésbé látványos és tapintható. Nem tudjuk biztosra, de lehetséges, hogy ez a Bartonella-fertőzés egyik tünete nála.
Vándorló izületi fájdalmai nem voltak.
Mély csontfájdalom azonban 2022 óta fennáll a bal alkarjában, hol erősebb, hol gyengébb, de legtöbbször szinte egész nap fáj úgy, hogy nem terheli - hiszen a teste foglya a borzalmas fájdalmaitól, nem tudja élni az életét. Ismét magánellátás, ismét egy újabb képalkotó, magunktól, orvosi segítség/beutaló nélkül. Az MR discret csontödémát írt le a radius csonton, tehát igazolta, hogy valami baj van, de éppen továbbvizsgálva nem lett.
Mély csontfájdalom, egy húzó jellegű, erős fájdalom van folyamatosan a fiam bal oldalán körbe az egyik bordánál már 10 éve - pontosítva annál a borda szakasznál, amelyik a melltartópánt vonalában fut. Ezt a tünetet ugyanígy le is írták már orvosi cikkben a Bartonellózisnak tulajdonítva: "Pain along the rib margin and/or bra strap lines has been linked to Bartonella infection." - Ugyanez a cikk írja: "A hasi fájdalmat a Bartonella is okozhatja, amely mind a gyomor-bél traktus nyálkahártyáját, mind a belekhez kapcsolódó hasi nyirokcsomókat megfertőzheti." - Ez mind véletlen lenne?
1 évvel ezután fül mögötti perzisztáló, krónikus megnagyobbodott nyirokcsomók jelentek meg /azóta tudjuk, az egyik fő oka ennek a bartonellózis lehet/ és ezek kíséretében nagyon erős fogfájdalmai lettek Zsoltnak. Vagyis ekkor még azt hittük a fájdalom fogeredetű. Hosszas gyökérkezelések után a kihúzást javasolta neki az orvos, holott mind a panoráma röntgenen, mind láthatólag, teljesen egészséges rágófogakról volt szó. Tehát további kivizsgálás, MR vagy szcintigráfia nélkül belevitték abba, hogy összesen 3 fogát húzták ki. Mondhatni kezdő barbárokhoz került. Az elsőt 2 perc mozgatás után feladta az ember és türelmetlenül kettévágta, így szedte ki. Másnapra fogmeder-gyulladása lett, amit az orvos rögtön tagadott látatlanban a telefonban, végül az 5. helyen látták el, ekkor már majdnem szeptikus állapotban - beletört, rothadó, nekrotizált csontdarabkákat szedtek ki, miután a fiam könyörgött vágják fel, nyissák fel, mert már a falat kaparja, 20 percenkénti vizelet, több napja nem aludt gyakorlatilag, pulzusa napi több béta-blokkoló ellenére is 120-130 volt. A doktornő a beavatkozás után csak annyit kérdezett: "Volt-e akár egyetlen olyan nap is ez alatt az egy hét alatt, amikor nem szedett be antibiotikumot?" - diszkréten utalva arra, hogy a fiam kishíján vérmérgezést kapott. (Csak azért nem, mert ekkor már 2 hete megkezdte a 3. bartonella terápia próbáját és 3 különböző antibiotikumot szedett egyszerre. Ugyanakkor a fogakkal történtek miatt, le kellett állni a kúrával és azóta sem tudta újrakezdeni. Hogy miért, arról később, de a fiamat azóta megnyomorították!) Végül is 3-szor kürettálták a fog helyét (excochleatio), amikor is az egyik alkalommal az érzéstelenítő tűt az orvos (Dr Kerkovits Bálint) belevágta a fiam nyelvidegébe a Semmelweis Egyetem Szentkirályi utcai részlegén. Egy újabb súlyos, életreszóló orvosi műhiba. Azutáni hetekben, hónapokban mintha leforrázták volna a nyelvét, száját, tehát olyan égő fájdalma volt, emellett olyan fájdalom van a nyelve jobb oldalában, mintha azt frissen vágták volna át késsel - azóta ezzel is együtt kell szenvednie szegény fiamnak! De meddig fogja bírni ezt az egészet? A második fogát kb. 5 mp alatt összetörte az Implantcenter szájsebésze Juhász Péter úgy, hogy a fiam külön kérte az eddigiek miatt, hogy legyenek óvatosak, de alig hogy kimondta, egy hatalmas rántással Juhász kettétörte a fogát és műteni kellett, amiből megint fogmeder-gyulladás lett. Csakúgy mint a 3. húzásnál is, ahol már egy rokonunk volt a szájsebész, aki magát a húzást rettentő odafigyeléssel hibátlanul megcsinálta.
Csakhogy kiderült az egész fogászati horror mögött nem is fogászati fájdalmak, hanem állcsontfájdalom áll. Tehát csontfájdalom. Nem tudjuk, hogy a Bartonella elérte és megfertőzte a csontvelőt és azért vannak ilyen mértékű csontfájdalmai (Amerikában vagy más európai országban már rég kiderítették volna), vagy valami egészen más, még súlyosabb dologról van szó.
Bartonella idegrendszeri és pszichiátriai tünetei (Neurobartonellózis)
Az IGeneX és a PubMed kutatásai kiemelik, hogy a krónikus fertőzés gyakran mentális panaszokkal jár:
Kognitív zavarok: "Agyköd", koncentrációs nehézségek, memóriazavarok.
Pszichés változások: Hirtelen fellépő szorongás, pánikrohamok, depresszió, vagy megmagyarázhatatlan dühkitörések (úgynevezett "Bartonella rage").
Érzészavarok: Zsibbadás, bizsergés, égő érzés a végtagokban (perifériás neuropathia).
Alvászavarok: Súlyos álmatlanság (insomnia) vagy nyugtalan alvás.
Zsoltnak a fentiek közül az utóbbi kettő tünet fennáll, de egészen más okból, Ciprofloxacin (Fluorokinolon)-toxicitás óta. Igen, mintha elátkozták volna, mintha minden úgy történne, hogy óriási heroikus küzdelme hiábavaló legyen és végül ne bírja tovább ezt a pokoli szenvedést és feladja...
Azóta, ahogy a Blog 1 cikkünkben írtam, a fiamat a morfium, fentanyl és altatók tartják még életben!
Bartonella szemészeti és neurológiai tünetei
Látászavarok: Homályos látás, fényérzékenység és "úszkáló foltok" a látómezőben.
Neurológiai zavarok: Remegés, egyensúlyvesztés vagy fülzúgás (tinnitus).
Ezek Zsoltnál nem jelentek meg. Kivéve azt az ominózus napot, amikor kitört a betegsége 2014-ben, sárga csíkokat/fényeket látott a bizonyos utolsó edzése után, fényérzékenységnek írta le, és remegett is. Utána többet nem volt ilyen, vagyis 11 éve - nem tudjuk egy alkalom számít-e, talán mástól is lehetett.
Tinnitusa folyamatosan van szintén a Ciprofloxacin beszedése óta, előtte soha nem volt. Mielőtt ezt az átkot is megkapta volna, egyszer mondta, elképzelni nem tudja, hogy tudnak élni emberek folyamatos fülzúgással, fülcsengéssel. Most pedig ő is közéjük tartozik!
Bartonella szervi és szisztémás tünetei
Szív- és érrendszer: Szapora szívverés (tachycardia), mellkasi fájdalom vagy szívbelhártya-gyulladás (endocarditis). Ez utóbbi gyakran "kultúra-negatív", tehát a hagyományos tesztek nem mutatják ki.
Nyirokrendszer: Krónikusan megnagyobbodott nyirokcsomók, különösen a nyakon vagy a hónaljban.
Emésztőrendszer: Hasi fájdalom, puffadás, máj- vagy lépmegnagyobbodás.
Ezeket fent részletesen kifejtettük. Mind igaz, bár biztosan nem ilyen mértékű, jellegű, folyamatos hasi fájdalomról van szó bartonella esetén. A hasi fájdalomról, a CT-ken, MR-en Máthé Zoltán professzor által is kiszúrt elváltozásokról egy külön cikkben tervezünk írni.
Amihez hozzátennék egy-két gondolatot: "nyirokcsomók a nyakon vagy a hónaljban." A fiam a CT-jén felfedezte, hogy a hónaljban láthatók kisebb nyirokcsomók, amelyek kalcifikáltak. (Egyébként a prosztata is és számos véna kalcifikálódott a kismedencei régióban. A prosztatát egyenesen katasztrófálisnak minősítette egy orvos, ha jól emlékszik a fiam, éppen a kalcifikáció / a prosztata meszes lerakódásai miatt. Vajon 28-32 évesen mitől lesz ez?) Ezzel kapcsolatban azt írja a szakirodalom, hogy olyan granulomatózus gyulladással járó betegségek maradványai, nyomai mint pl a tuberkulózis (ismét!), szarkoidózis, Crohn-betegség és akár a bartonella is. És akkor helyben vagyunk.
Visszautalva a fül mögött megjelenő perzisztáló, krónikus nyirokcsomó-megnagyobbodásra, ami egyszerre jelentkezett a fogeredetű fájdalmaknak hitt valójában súlyos állcsont fájdalmakkal, teljesen elképzelhető, hogy a Bartonella áll mögötte. Amikor már 5. hónapja nem enyhült a nyirokcsomó-duzzanat és már a második fogát tépték ki feleslegesen a fiamnak, azt mondta, elmegyünk a Semmelweis Egyetem fej-nyak sebészeti ambulanciájára, kinyomtatott szakcikkeket is vitt magával, köztük az alábbi ábrát is, hogy komolyan vegyék, hogy ez most egy esély lehet, hogy kiderülhessen: bartonellózis vagy tuberkulózis. Mindhiába!

(Forrás: https://www.rch.org.au/clinicalguide/guideline_index/Cervical_Lymphadenopathy)
Itt Dr Grimm András fül-orr-gégész szakorvos meg is beszélte az egyetem Aspirációs Citológia rendelésével, hogy ultrahang-vezérelt nyirokcsomó biopsziára küldi fel a fiamat beutalóval még most, amelyen két fertőzésre kért patológiai vizsgálatot: tuberkulózis és bartonellózis. Nem meglepő, hiszen ahogy a fenti ábra is mutatja, a szakirodalom is alapvetően ezt a kettőt teszi felelőssé krónikus, lokalizált nyaki/fül mögötti (retroauricularis) nyirokcsomó-megnagyobbodásért. Márpedig 5 hónap az krónikus.
Csakhogy amint a fiam bement a helyiségbe, a főorvos dr Székely Eszter közölte, hogy nem végzik el a mintavételt, mert "nem látják indokoltnak, nincs értelme."
Tehát meg van beszélve két kolléga között, majd amikor a beteg megérkezik, kihúzzák alóla a széket. Már megint harcmezőn találta magát a fiam, megint harcolnia kellett olyan dologért, ami rég alapvető lett volna és amit egy felesleges szó nélkül 5 perc alatt el lehetett volna végezni. Végül eljátszva, hogy meggondolták magukat, mondták a fiamnak, hogy "Na jó, feküdjön fel, megcsináljuk". A fiam már ekkor tudta, hogy itt valami sántít, mert ismeri annyira az orvosokat, hogyha egyszer kijelentenek valamit, soha nem fognak abból megváltoztatni semmit, vagy visszaszívni azt, elnézést kérést pedig elfelejtheti mindenki.
Jól sejtette, hogy ebből baj lesz. Hazaérve úgy döntöttük megörökítjük, dokumentáljuk a beavatkozás (szúrás) helyét. És igen, igazunk volt. Adott egy relatíve nagy dudor, amit telibe lehet szúrni bármiféle ultrahang segítsége nélkül is mintavétel céljából, de ehelyett mit csináltak a Semmelweis Egyetemen már megint? Legalább 1,5 cm-rel arébb, kiszúrt az egészséges hajas fejbőrre, éppen annyira messzire, hogy annak a mintavételnek köze ne legyen a patológiás területhez, nyirokcsomóhoz. Így biztosra menve, hogy egészséges sejtekkel lesz teli a minta, a fiam megint nem jut diagnózishoz (és többször kiderült, hogy ez közös érdeke a magyar orvosoknak, különben 10 évnyi nem kezelés, félrekezelés, műhibák után mint egy dominó, összedőlnek) és így jöhet a "na mi megmondtuk, hogy felesleges volt." De ha ez nem lenne elég, egyik vizsgálatot sem végezték el, amit a társklinika szakorvosa kért.

Így nem történt meg a fiam kivizsgálása, így vették el az esélyét megint a diagnózisra, miközben állapota ekkor már rohamosan omlott össze. Ide idéznék egy 2024-es magyar esettanulmányból, ahol megnagyobbodott nyaki nyirokcsomó volt egy fiatal betegnél: "A B. henselae által okozott betegségek széles skálája a viszonylag jóindulatú, tünetmentes formáktól a szisztémásabb megnyilvánulásokig – mint például agyvelőgyulladás, uveitis, endocarditis, hepatitis és kötőhártya-gyulladás – terjed. Ritka formáiban a csontvázrendszert is érintheti, amely gyermekeknél costalis osteomyelitisként jelenik meg [6, 7]. A helyes diagnózis klinikai, szerológiai, radiológiai és szövettani diagnózisokon alapul. Fontos megkülönböztetni a rosszindulatú betegségektől, a CMV- és EBV-fertőzésektől, a mycobacteriosistól és a tuberculosistól (igen! a mindig visszatérő tuberkulózis, amit nem vizsgáltak és amit a fiam mai napig nem tud elengedni, mint eredeti kórokot. - a szerk). Olyan betegek esetében, akiknél a fejen, a nyakon vagy a felső végtagokon nyirokcsomó-megnagyobbodások jelentkeznek, bartonellosisra is gondolni kell a differenciáldiagnózis során" - Még egyszer "Köszönjük" dr Székely Eszter - talán ha Ő is csak egyszer ilyen gyógyító céllal, konstruktív módon állt volna a Zsolthoz.... nem jutott volna idáig! És ez az eset nem külföld elit országban, hanem a Miskolci Egyetemen történt. Jól mutatja, hogy nem minden a pénz kérdése, sokkal inkább csak az akaraté, emberségé. (Forrás: https://real.mtak.hu/190001/1/650-article-p351.pdf)
Mielőtt lezárnám ezt a fejezetrészt, az alábbiakban beteszek egy képernyőfotót a Projekt Lyme oldaláról, ami szerintünk nagyon jól összefoglalja azt a kiterjedt tünetegyüttest, amit a Bartonella-fertőzés tud okozni. Pirossal jelöltük Zsolt itt megtalálható tüneteit.
Bartonella tünetek összefoglalva

Az abnormális striák, a megnagyobbodott nyaki és hasi nyirokcsomók, a fájdalmas talp, a hasi fájdalom, az arcfájdalom (nálunk állcsontfájdalom) és fogproblémák (a fogak teljes demineralizálódása néhány hónap alatt, amilyet a kezelő fogorvosa 70 éve alatt még nem látott!), a súlyos hólyag és kismedencei problémák és fájdalmak, a szív tünetek (tachycardia, POTS), mind-mind stimmelnek, de nem jelöltük be a hőemelkedést például, mert az csak a betegsége első 2 hónapjában állt fenn, vagy az egyszeri látászavart.
Hogy a Bartonella-e az ok vagy nem? Máig nem tudjuk! Talán a rossz kezelés, a kevés kezelés és végül hosszantartó kezeletlenség miatt sem...
Ezért e cikk végén megosztanánk Zsolt tapasztalatait az ő Bartonella fertőzésének kezeléséről és a Google-AI segítségével azokról a kezelési módokról, amit a legtapasztaltabb szakemberek ajánlanak.
A krónikus Bartonellózis (Bartonella Henselae) kezelése

A krónikus bartonellózis kezelésének legfőbb nehézsége a baktérium rendkívül kifinomult túlélési stratégiájában rejlik: a Bartonella fajok ugyanis elsősorban a vaszkuláris endothel sejteket (az erek belső falát alkotó sejteket) és a vörösvértesteket támadják meg, de képesek behatolni a makrofágokba (immunsejtekbe) és a mikrogliákba (az agy immunsejtjeibe) is. A kórokozó "rejtőzködő" (stealth) természete abból adódik, hogy a sejteken belülre húzódva védelmet élvez a gazdaszervezet immunválaszával és a legtöbb, véráramban keringő antibiotikummal szemben, miközben lassú osztódási ciklusa (akár 22-24 óra) hatástalanná teszi a gyorsan szaporodó baktériumokra kifejlesztett gyógyszereket. A kezelést tovább komplikálja, hogy a baktérium bonyolult biofilmeket hoz létre a szövetekben és a hajszálerek falán, amelyek fizikai gátat képeznek az antibiotikumok előtt, valamint képes átalakulni úgynevezett "persister" (alvó) formákká, amelyek anyagcseréje szinte teljesen leáll, így az antibiotikumok nem tudnak fogást találni rajtuk. A szervezetben ez a folyamatos jelenlét krónikus érgyulladást, mikrocirkulációs zavarokat és az immunrendszer állandó, de eredménytelen stimulációját okozza, ami a disszeminált szakaszban szerteágazó neurológiai, pszichiátriai és reumatológiai tünetekhez vezet, miközben a hagyományos tenyésztési és szerológiai tesztek gyakran álnegatív eredményt adnak.
Milyen kombinált antibiotikum-terápiákkal és kiegészítőkkel zajlik a krónikus bartonellózis kezelése a legismertebb Bartonella-specialistáknál?
A krónikus és disszeminált bartonellózis kezelése 2026-ban is az egyik legösszetettebb infektológiai kihívás. Az alábbiakban összefoglaljuk a legmeghatározóbb specialisták - mint Dr. Edward Breitschwerdt, Dr. Marty Ross, Dr Richard Horowitz és Dr. B. Robert Mozayeni – konkrét antibiotikum-protokolljait.
1. Dr. Edward Breitschwerdt (NCSU - A Bartonella kutatás atyja)
Dr. Breitschwerdt kutatásai (pl. a Galaxy Diagnostics tudományos háttere) rávilágítottak, hogy a Bartonella rendkívül lassan osztódik és képes "elrejtőzni".
- Kezelési elv: Hangsúlyozza, hogy a monoterápia (egy antibiotikum) szinte mindig kudarchoz vagy visszaeséshez vezet.
- Kombináció: Elsősorban a rifampicin és a clarithromycin (vagy azithromycin) kombinációját, illetve a doxycyclin és rifampicin párosítást vizsgálta és javasolta.
- Időtartam: Minimum 3-4 hónap, de gyakran hosszabb, amíg a speciális Bartonella-PCR vagy a Triple Draw teszt negatívvá nem válik.
2. Dr. Marty Ross (MD - Ross Reiter Protocol)
Dr. Ross a klinikai tapasztalatokra építve a biofilmek és a "persister" (alvó) sejtek elpusztítására koncentrál. 2026-os ajánlásai szerint:
- Elsődleges kombináció: Rifampin (rifampicin) (napi 2x300 mg) + Bactrim (trimethoprim/sulfamethoxazole). Szerinte a Bactrim hatékonyan segíti a rifampicin bejutását a sejtekbe.
- Alternatív kombináció: Rifampin + Minocyclin vagy Doxycyclin.
- Persister sejtek ellen: Kifejezetten ajánlja a metilénkék (napi 2x50-100 mg) vagy az essential oil kapszulák (pl. oregánó, fahéj, szegfűszeg) hozzáadását a fenti kúrákhoz.
- Időtartam: Legalább 4-6 hónap. A kezelést csak akkor szabad abbahagyni, ha a páciens legalább 1-2 hónapja tünetmentes.
3. Dr. Richard Horowitz (MSIDS-modell)
- Fő fegyvere: A Double-Dose Dapsone (DDDCT) protokoll.
- Kombináció: Dapsone + Rifampin + Doxycyclin + Pyrazinamid. Ezt kiegészíti biofilm-bontókkal (pl. Stevia, Biocidin) és a Herxheimer-reakciót csökkentő szerekkel.
- Időtartam: A dapsone-lökésterápia általában 8-12 hétig tart a fenntartó kezelés mellett.
4. Dr. B. Robert Mozayeni (T-Rex protokollok)
- Kombináció: Leggyakrabban a rifampin vagy rifabutin (utóbbit jobban tolerálhatóbbnak tartja hosszú távon) kombinációját alkalmazza clarithromycin-nel.
- Kiegészítés: Gyakran használ bakteriosztatikus és baktericid szereket egyszerre, ügyelve az erek belső falának (endothelium) védelmére.
Kezelési időtartam összefoglalva:
A specialisták egyetértenek abban, hogy a krónikus/disszeminált esetben:
- A kezelés minimum 4-6 hónap.
- Gyakori a "tünetmentesség utáni +2 hónap" szabálya.
- A kezelés hossza elérheti az 1-1,5 évet is, ha a fertőzés a központi idegrendszert vagy a csontvelőt is érinti.
Figyelmeztetés: A rifampicin és a dapsone komoly mellékhatásokkal (májterhelés, vérszegénység) járhat, és számos gyógyszerrel kölcsönhatásba lép. A kezelés kizárólag szoros orvosi kontroll és rendszeres laborvizsgálatok mellett végezhető! További szakmai részletekért érdemes felkeresni az ILADS (International Lyme and Associated Diseases Society) irányelveit.
Zsolt Bartonella fertőzésének kezelése
Ehhez képest a fiam először pusztán egy körülbelül 35-40 napos kombinált antibiotikum kúrát csinált végig, de azt az állapotához képest hihetetlen fegyelemmel. A kiírt ún. "kúra" doxycycline-ből, azitromycin-ből és intravénás metronidazole-ból (Klion). Egy héten kb 4-szer ment be kórházba csak azért, hogy a metronidazole-t intravénásan kaphassa és betartson minden előírást. Ezen kívül 2x200 mg doxycycline-t szedett mindennap és vagy mindennap, vagy emlékeink szerint heti 3-szor 2x500 mg azitromycin-t. Amikor az orvos kiírta Zsoltnak a kezelést, akkor hozzátette, hogy a fiam az egyetlen, akit eddig nem lyme-kór társfertőzései között megjelent Bartonellára kezelt, hanem pusztán önmagában volt Bartonella Henselae fertőzése, ezért talán új volt számára is, hogy hogyan és meddig kell kezelni a krónikus bartonellózist. Ez 2017 év elején volt, azóta a kezelések hossza és az antibiotikum-kombinációk megváltoztak. Most már sok esetben itthon és külföldön is 1 vagy 2 évig szedik az antibiotikumokat, 2 vagy akár 3 fajta antibiotikumot.
Bevallom, a mi hibánk, ha tényleg hiba volt, hogy nem vettük időben komolyan - akkor amikor kimutatták - a Bartonella fertőzést mint lehetséges kórokot. Nem hittük el, hogy ilyen mértékű és folyamatos hasi fájdalmat tud okozni, emiatt a többi tünettel akkor nem is foglalkoztunk. Mindenesetre tény, hogy az első kúra - a 35 napos rövidségével együtt - nem változtatott Zsolt állapotán semmit. A fiamnak 2022-ben újra fókuszába került a Bartonella Henselae diagnózisa és kilátástalan helyzetében nekiállt újra kezeltetni. Ekkor végigcsinált egy 56 napos (megintcsak) kúrát, ami ekkorra már Klaritromicin-ből és Rifampicin-ből állt. Napi maximális 1000 mg klaritromicin és 600 mg rifampicin. Az utolsó két hetet már alig bírta ki. De végigcsinálta, viszont tünetei nem változtak. Azonban látva a kutatásokat, a javaslatokat, mások esetét, teljesen elképzelhetőnek tartjuk, hogy többet ártottunk az ún. kúrával, pontosabban a nem folyamatos szedéssel és 56 nap után a kúra abbahagyásával, mint használtunk. Elképzelhető, hogy nem hogy pont akkor, hanem még jóval azelőtt hagytuk abba, hogy sikeresen ki tudta volna fejteni hatását. Annyit tudunk, hogy a későbbi két Bartonella teszt már IgG-re is negatív eredményt adott. De valójában nem tudjuk, hogy a bartonellózis-e az ok a tünetek mögött, vagy ha igen, mely tünetek mögött. Külföldi orvosokhoz pedig már nem tudtunk kijutni a bartonella fertőzés kérdésével, vagy bármilyen formában konzultálni velük, kikérni véleményüket.
Az alábbi miatt:
Azóta pedig a fiam NAGYON SÚLYOS ciprofloxacin-mérgezést kapott, annak minden szörnyű hatását elszenvedte és elszenvedi, mindazt ami miatt 6 FDA-s "Black Box Warning" és sok országban kitiltás van a fluorokinolon antibiotikumokon (ciprofloxacin, levofloxacin, moxifloxacin stb.) Ezt pedig akkor történt, amikor 60 nap alatt 31-szer kért segítséget akut állapotára kórházban, sürgősségin, ügyeleten, urológiai klinikán, nefrológiai klinikán és nem kapott - nem vették fel ennyi idő alatt és ennyi helyen a vesekőzúzás utáni súlyos vesemedence-gyulladás (pyelonephritis) akut tüneteivel, amit laborleletein 1000-szeres vérvizelési értékek (2124 vvt/látótér), magas fehérjevizelés és baktériumvizelés, gennyvizelés, albuminuria és creatinin értékek igazoltak folyamatosan. A 60 nap alatt végig megtagadott kórházi kezeléssel, végül belüldözték a szeptikus (vérmérgezéses) állapotba: hidegrázás, 39 fokos láz, 130-160 közötti pulzus több mint 12 órán át, folyamatos hasmenés, ismételt vérvizelés, 22-es repirációs ráta és mindekelőtt elviselhetetlen kétoldali vesefájdalom. Ekkor vette be a ciprofloxacint otthon, ami élete egyik legtragikusabb döntése volt, miután felelőtlenül felírták neki. 3-szor tagadta meg ezt az antibiotikumot ezt megelőzően, olvasott és hallott arról, hogy embereket nyomorított meg, nagyon sok embert. De azon az éjjelen a fentiek mellett elkezdett zuhanni a vérnyomása is, már csak 80/60 körül volt neki, akinek mindig 120-140/80 körül van. Félelmében, kiszolgáltatott helyzetében vette be. Hogy pontosak legyünk: beleüldözték ebbe is. Azután is és azóta is veséi kezeletlenek maradtak, a magyar egészségügy a fiamat likvidálni akarta, másképpen ilyen ámokfutás-sorozatot senki ellen nem követnek el. Ennek részleteiről külön blogokban írunk majd, mert megírunk mindent. Ide úgy kapcsolódott, hogy tudni kell, mióta ez megtörtént Zsoltot nem csak hogy a morfium, fentanyl és altatók tartják életben, de nem tud szedni olyan antibiotikumokat és gyógyszereket, amelyeket régebben gond nélkül és szinte bármilyen adagban tudott.
Ha elolvasta a Blog 2-t, Ön már tudja, hogy Zsoltot példátlanul megnyomorították. És most szó szerint élet-halál harcot vív egy akut-krónikus állapotban. A Blog 1-ben általános betekintést engedtünk Zsolt tragikusan alakult életébe és a szörnyűségekbe, amiket átélt. Ha még nem látta, kérem olvasson bele!

Jelenleg még mindig nincs elég pénzünk, hogy külföldi klinikára kijussunk, ezért az adománygyűjtést, amit akkor elkezdtünk, 2025 decembere óta néhány sajtóorgánum és segítőkész embertársunk segítségével újraindítottuk. 2025 decemberében a Mi Hazánk egyik képviselőjelöltje, publicistája készített egy cikket és olvasói összefogással több mint 700.000 Ft-ot adományoztak Zsoltnak. Majd kicsit később meg érkezett a mi ismerőseink adományaival együtt kb 200.000 Ft. Januárban pedig a fiam egy gyerekkori jó barátja tudta meg, mi történik Zsolttal és 400.000 Ft-ot adományoztak édesanyjáváal. Ez közel 1,5 millió forint, maiért nagyon hálásak vagyunk! Viszont a cél messze van még mindig. Az adománygyűjtés aktuális egyenlege 5.8 millió forint a cikk írásának időpontjában (2026.02.02).
A célról: Az azonnali cél 14-15 millió forint – két hetes németországi klinikai befekvéshez a vesék megmentéséért! Rövidtávú cél: 55-60 millió forint – Svájci Klinikai vizsgálatok a súlyos, kezdetek óta kezeletlen összetett betegségek diagnosztizálása és oki kezelése érdekében, valamint a Pécsen történt orvosi műhiba okozta maradandó idegsérülés-idegfájdalom műtéti megszüntetésére (intercostalis neurectomia) az USA-ban. Ha most relatíve gyorsan nem vagyunk képesek összegyűjteni ezt az összeget, elveszítem a fiamat. Ezért kérem, ha szeretne segíteni és esélyt adni a fiamnak 11 év pokol után egy emberi életre, adományát/támogatását a fiam alábbi számlaszámára juttassa el:
| Név: Viczena József Zsolt Számlaszám: 11773401-0090820700000000 Közlemény: adomány IBAN: HU96117734010090820700000000 Announcement: donation |
Hálásan köszönjük!
Szerzők: Czégény Ágnes, Viczena Zsolt
Elérhetőségünk ide kattintva található.
